VITUS Fi Fibula Nail System
Minimaal invasieve osteosynthese van de distale fibula
Stabiele fixatie, bescherming van de weke delen – VITUS-Fi
Intramedullaire behandeling
Vooral in de geriatrische traumatologie en bij gecompromitteerde weke delen komt wondgenezing centraal te staan in de therapie. Het VITUS-Fi fibulanagelsysteem is ontwikkeld voor de intramedullaire behandeling van instabiele enkelbreuken. Kleine incisies en een stabiele fixatie hebben tot doel de immobilisatiefase van de patiënt zo kort mogelijk te houden.
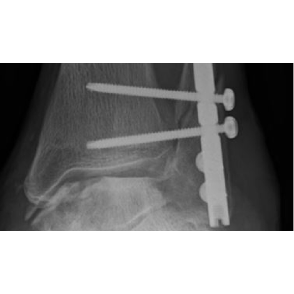
Locking schroef met modulaire washer
Het bewezen concept van Marquardt Medizintechnik
De schroeven worden gecombineerd met een beweegbare, vaste washer. De modulaire washer zorgt voor een veilige, positieve krachtoverdracht met een gelijkmatige verdeling naar de cortex.
Voorbeelden van gebruik
Smart instrumentation
Preoperatief
Postoperatieve Postoperatieve
